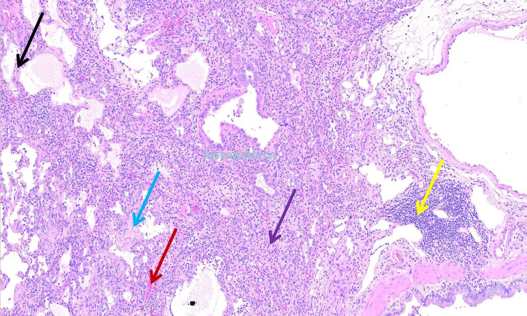
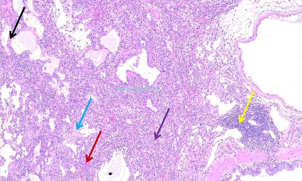
结果分析:HE染色可见肺组织炎症性改变:肺泡隔增厚(黑色箭头),局部肺组织结构破坏(紫色箭头),血管扩张充血(红色箭头),间质纤维组织增生(蓝色箭头),伴大量炎性细胞浸润(黄色箭头)。
必须是数字
不能为空
E-mail格式不对
手机号格式不对
QQ:1594387105
服务热线
15157931817
微信服务号