特殊染色

Masson染色

内容详情 在线咨询

      Masson染色原理:

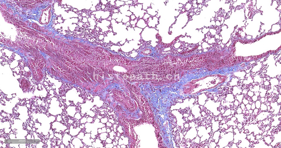
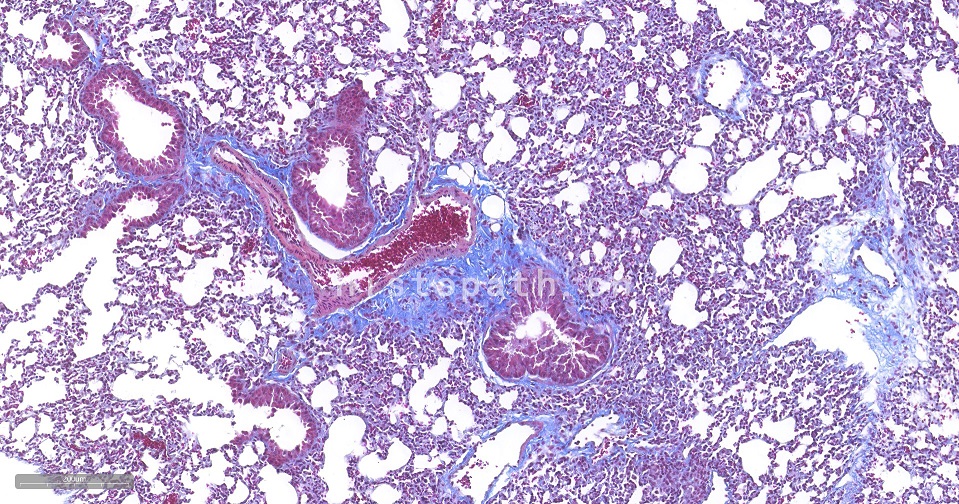
Masson 三色染色又称马松染色,是结缔组织染色中最经典的一种方法,是胶原纤维染色权威而经典的技术方法。所谓三色染色通常是指染胞核和能选择性的显示胶原纤维和肌纤维。该法染色原理与阴离子染料分子的大小和组织的渗透有关:分子的大小由分子量来体现,小分子量易穿透结构致密、渗透性低的组织,而大分子量则只能进入结构疏松的、渗透性高的组织。然而,淡绿或苯胺蓝的分子量很大,因此 Masson 染色后肌纤维呈红色, 胶原纤维呈绿色或蓝色,主要用于区分胶原纤维和肌纤维。

     Masson染色流程:

      ①脱蜡至水:二甲苯Ⅰ5min,二甲苯Ⅱ5min,二甲苯Ⅲ5min,无水乙醇1min,95%乙醇1min,75%乙醇1min,蒸馏水洗5分钟;

     ②用配置好的Weigert铁苏木素染色液染色8分钟;

     ③酸性乙醇分化液分化15秒,水洗;

     ④Masson蓝化液返蓝5分钟,水洗。蒸馏水洗1分钟;

     ⑤丽春红品红染色液染色5分钟;

     ⑥弱酸工作液洗1分钟;

     ⑦磷钼酸溶液洗1分钟,弱酸工作液洗1分钟;

     ⑧苯胺蓝染色液染2分钟,弱酸洗1分钟;

     ⑨脱水透明:95%乙醇快速脱水2-3秒,无水乙醇脱水3次,每次5-10秒,二甲苯透明3次,每次1-2分钟,中性树胶封固;

    染色结果:胶原纤维、黏液、软骨呈蓝色(如亮绿液染色为绿色),胞质、肌肉、纤维素、神经胶质呈红色,胞核黑蓝色。


* 订单数量:

必须是数字

* 客户姓名:

不能为空

* 电子邮箱:

E-mail格式不对

* 手机:

手机号格式不对

* 详细地址:

不能为空

* 客户留言:

不能为空

服务热线

15157931817

微信服务号