服务热线
15157931817
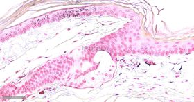
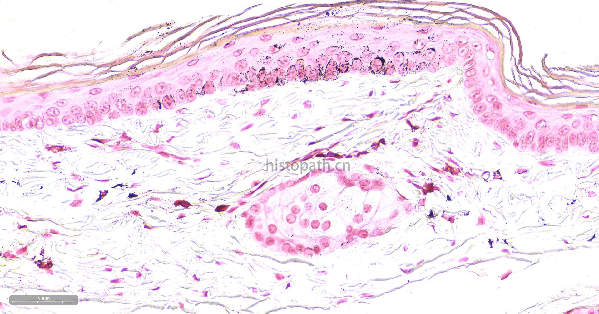
Masson-Fontana黑色素染色染色原理:
黑色素属于非血源性内生色素,是一组由黑色素母细胞产生的颜色从浅棕色到黑色的色素,这种色素通常出现在皮肤表皮、眼睛、大脑的黑质和毛囊中。黑色素有一个显著的物理性质,即完全不溶解于大多数有机溶剂--几乎可以肯定是由于黑素体中已形成的黑色素可与蛋白质紧密结合;黑色素另一个物理性质是能够被强氧化剂漂白,尽管这个过程是缓慢的,在病理情况下,这种色素也可出现在良性痣细胞瘤中和恶性黑色素瘤中,在常规HE染色中不呈黑色而是呈棕黄色或棕黑色,许多方法可用于识别黑色素和黑色素生成细胞,如还原方法,如Masson-Fontana银技术和Schmorl三价铁-铁氰化钾还原实验;酶方法(如多巴反应);荧光方法:免疫组织化学。
Masson-Fontana黑色素染色液是利用黑色素具有将银氨溶液还原为金属银特性即嗜银反应原理来显示黑色素,染色后黑色素呈黑色,该法属于常用的黑色素特殊染色法,效果较其他染色理想。
染色步骤:
(1)脱蜡至水:二甲苯Ⅰ5分钟,二甲苯Ⅱ5分钟,二甲苯Ⅲ5分钟,无水乙醇1分钟,95%乙醇1分钟,75%乙醇1分钟,蒸馏水洗1分钟。
(2)入Fontana氨银溶液避光浸染12~24h或56°C恒温箱孵育30~40min,蒸馏水多次洗净(5~6次)。
(3)入海波溶液处理切片1~5min,自来水洗3~5min。
(4)(可选)入中性红染色液轻轻复染5min,蒸馏水冲洗。
(5)95%乙醇、无水乙醇脱水,二甲苯或浸蜡脱蜡透明液透明、中性树胶封固。
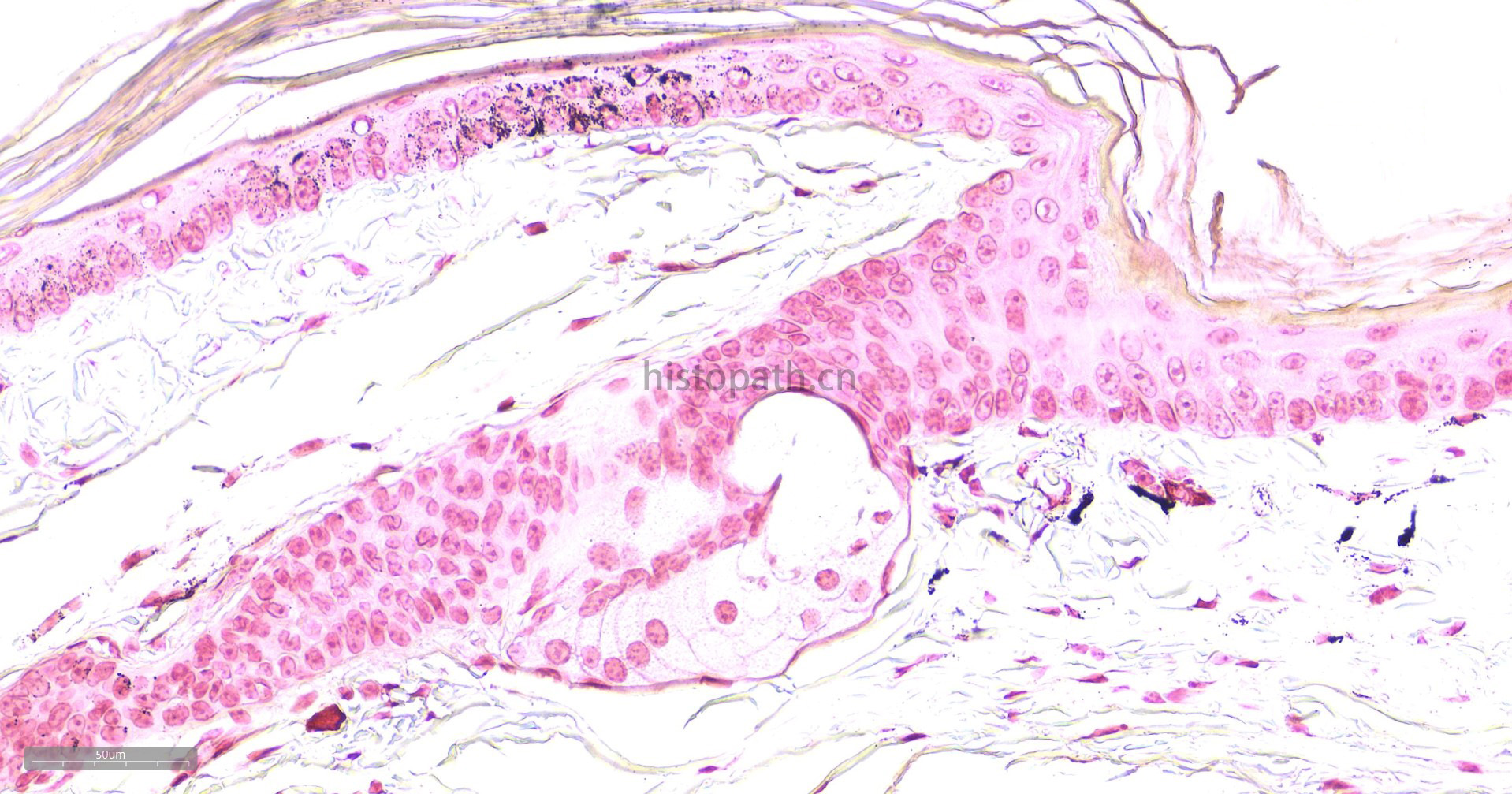
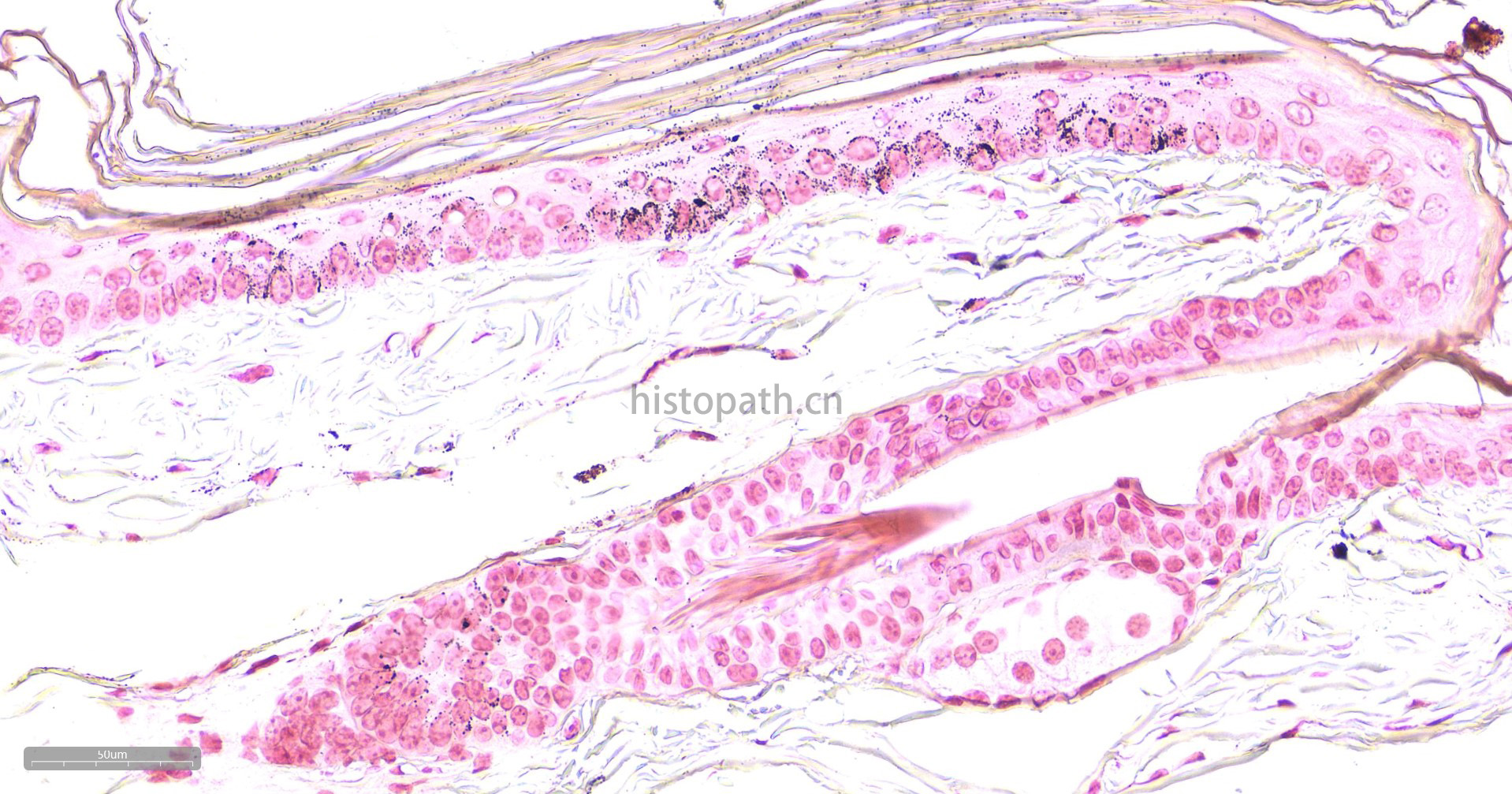
染色结果:

必须是数字
不能为空
E-mail格式不对
手机号格式不对
不能为空
不能为空