免疫组化

免疫组化

内容详情 在线咨询

免疫组化:

是应用免疫学基本原理——抗原抗体反应,即抗原与抗体特异性结合的原理,通过化学反应使标记抗体的显色剂(荧光素、酶、金属离子、同位素)显色来确定组织细胞内抗原(多肽和蛋白质),对其进行定位、定性及定量的研究,称为免疫组织化学技术(immunohistochemistry)或免疫细胞化学技术(immunocytochemistry)。

实验流程:

切片—脱蜡至水—抗原修复—灭活—封闭—一抗孵育—二抗孵育—显色—复染—封片

1, 切片:切片厚度4微米,42°C水温展片,60°C烘箱烤片30分钟。   注意:对于骨或皮肤易脱片的组织,可适当延长烤片时间。

2, 脱蜡至水:二甲苯Ⅰ5分钟,二甲苯Ⅱ5分钟,二甲苯Ⅲ5分钟,无水乙醇1分钟,95%乙醇1分钟,75%乙醇1分钟,蒸馏水洗5分钟。   注意:具体时间需要根据室温盒二甲苯的新旧程度灵活调整,室温越高,二甲苯越新,相应时间越短,以组织上无状石蜡残留为准。

3, 抗原修复:EDTA微波热修复5-8分钟,冷却至室温。      注意 :对于大部分蛋白来说,EDTA修复液一般都能得到满意的结果,也可使用胰酶法修复液或传统的柠檬酸盐修复液,样本固定时间过久或者阳性表达不强,可适当增加修复的次数和强度。

4,  灭活:免疫组化笔画圈,防止试剂流出,滴加内源性过氧化物酶阻断液,室温孵育10分钟,PBS缓冲液洗3次,每次5分钟。     注意:对于内源性过氧化物酶含量高的组织,可以适当延长孵育时间或增加过氧化氢浓度。

5, 封闭:滴加封闭血清37℃孵育30分钟,甩去多余血清,勿洗。

6, 一抗孵育:滴加一抗,37℃湿盒孵育2h,PBS缓冲液清洗3次,每次5分钟。      注意:初次实验,建议一抗做浓度梯度,以确定最佳的一抗稀释比例。

7, 二抗孵育:滴加HRP标记羊抗兔,37℃孵育30分钟,PBS缓冲液清洗3次,每次5分钟。      注意:根据一抗种属决定二抗的类型,比如一抗为兔抗,那二抗选择HRP标记的羊抗兔lgG。

8, 显色:DAB显色液,配置DAB:1mlB液+1滴A液混匀,滴加DAB显色液,镜下观察至阳性明显增强、背景干净终止显色;如果显色淡,可重复上一步增强显示色。

9, 复染:滴加Mayer︐S苏木素30s,蒸馏水洗,返蓝液漫泡1分钟,水洗。

    10,脱水透明封片:75%-95%-100%酒精梯度脱水,每缸1分钟,二甲苯透明三缸,每缸2分钟,中性树胶封片。

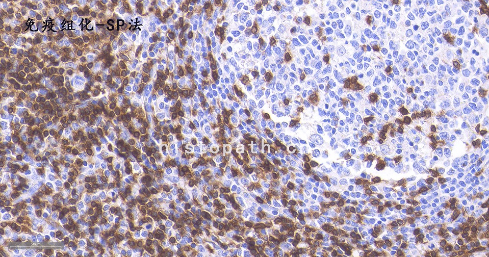
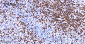
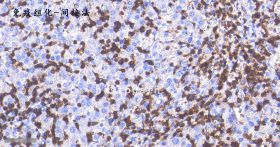
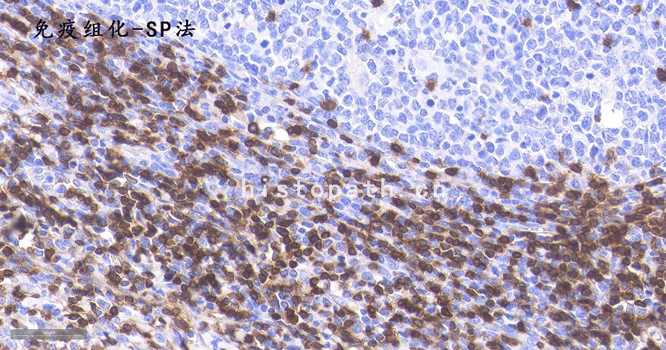
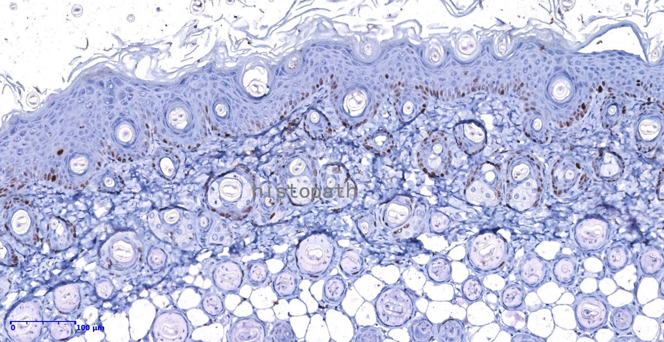
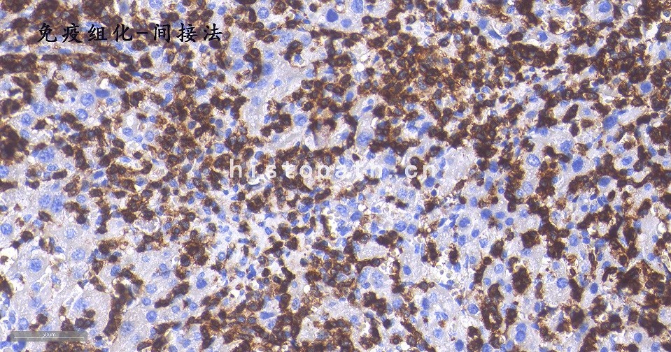
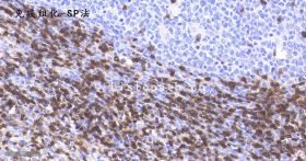
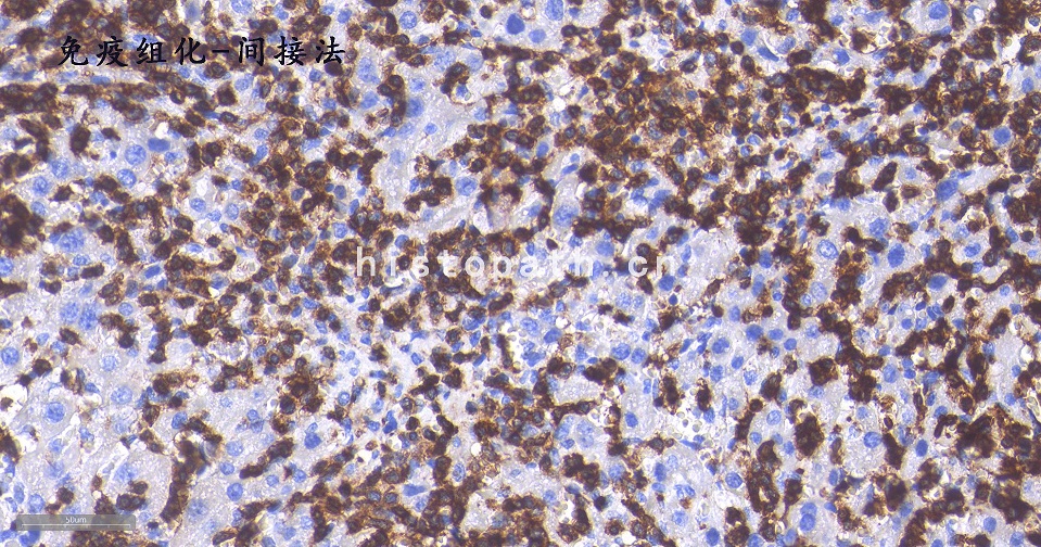
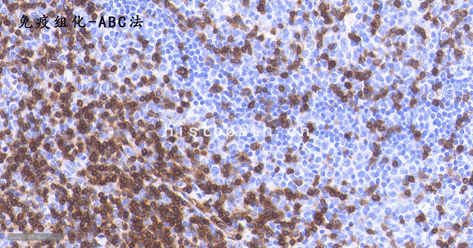
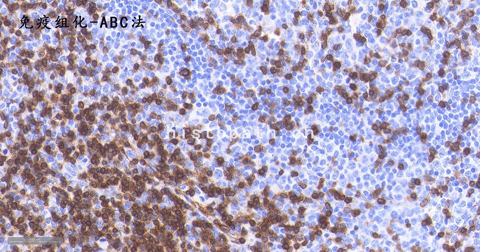
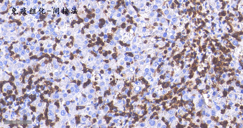
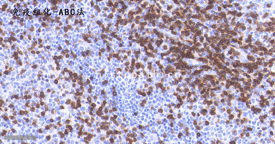
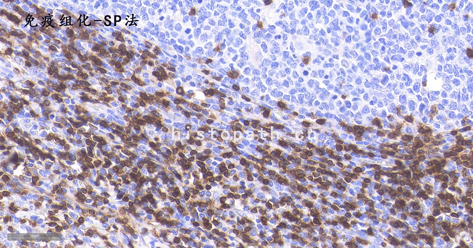
    结果:阳性部位棕褐色,细胞核天蓝色,对比鲜明,无背景着色。

ABC1.jpg    间接2.jpg


SP1.jpg    免疫组化(肾).jpg

皮肤ki67免疫组化.jpg    肿瘤ki67 400倍.jpg



* 订单数量:

必须是数字

* 客户姓名:

不能为空

* 电子邮箱:

E-mail格式不对

* 手机:

手机号格式不对

* 详细地址:

不能为空

* 客户留言:

不能为空

服务热线

15157931817

微信服务号